单击工具栏上文件操作图标旁边的箭头,或使用Ctrl+O键盘快捷键即可打开DICOM文件。单击打开DICOM文件。
找到DICOM文件,进行选择,然后单击“打开”,加载过程将开始。若医学图像出现在软件预览框中,您就可以浏览这些图像.您也可以使用更快的方法:将选定的DICOM文件拖放到泛影阅片主窗口中。
泛影阅片可以将打开的图像或序列导出为以下格式:JPEG、BMP、DICOM、TIFF、PNM、PNG。单击“导出”工具按钮或使用Shift+D显示导出窗口。
单击导出单张图像;将打开导出窗口,以便您可以选择目标格式和图像质量以及导出文件的存放路径;JPEG Quality表示所要导出的图片质量。向左移动滑块以减小目标文件大小(质量较差),向右移动滑块以获得较大的目标文件(质量较好);单击”Select Folder”浏览目标文件夹;单击”start”后,导出过程将开始,导出的进度将显示在下方的状态栏上。
为了进行比较,可以在多个面板中同时打开一个或多个研究的多个序列。
单击“视窗分格”按钮,将鼠标光标移动到代表医学影像面板的“单元格”上。
再次单击以选择拆分模板(最多可以选择五列和四行面板)。使用鼠标左键,将缩略图从系列预览栏拖放到面板中,以加载并显示所选系列。
将光标移动到导航栏最右侧的“全屏设置”按钮上。
单击该按钮即可将面板快速最大化。
单击工具栏上三维重建图标旁边的箭头;单击VR-RayCast(光线投射算法)选项;
将序列加载到内存并进行预处理后,VR-RayCast将显示在新窗口中。在速度较慢的系统上,此过程可能需要几秒钟时间。
单击工具栏上的“图像缩放”按钮。接下来,在图像上按鼠标右键,然后向上拖动鼠标以放大或向下拖动鼠标以缩小。默认情况下,缩放工具与鼠标右键相关联。
另一种缩放方法是将光标放在图像上,按Ctrl键,然后向两个方向转动鼠标滚轮以放大或缩小;或者可以使用Shift+I和Shift+O键盘快捷键进行缩放,按Shift+1(100%)、Shift+2(200%)、Shift+4(400%)可以快速应用不同的缩放预设.将序列加载到内存并进行预处理后,VR-RayCast将显示在新窗口中。在速度较慢的系统上,此过程可能需要几秒钟时间。
这些快捷键对应的操作也可从“图像缩放”下拉菜单中获得。
放大镜功能可以使用快捷键Shift+F,然后单击鼠标左键置于对应需要放大的影像位置上即可实现对于影片特定位置的放大功能。
单击工具栏上的“图像翻转”按钮。可以对图像应用多次旋转和翻转,以达到特定的阅片需求。选择“清除旋转”(或使用Ctrl+Shift+\)以恢复原始方向。
单击工具栏上的“标注测量”按钮,从标注测量下拉菜单中选择Length(或按L键),将光标放在起点上,然后按下鼠标左键并拖动鼠标以绘制长度测量的线段。松开按钮完成绘图。距离值将以毫米或像素显示。
从测量下拉菜单中选择角度(或按A键),按下鼠标左键并拖动鼠标以绘制角度的第一个手臂。释放按钮并移动鼠标以绘制第二只手臂。单击左侧按钮完成角度绘制。
单击工具栏上的“窗宽窗位”按钮,从窗宽窗位下拉菜单中选择’negative’模式(或按2键);如下第三幅图展示了负片模式下的影像。
注释DICOM文件包含存储在与图像相关的标签中的大量信息。最重要的数据被覆盖在显示的图像的顶部,分组在角落里:
左上角展示:显示的图像数量和加载的图像总数、序列号、规模大小;
左下角展示:鼠标光标位置(显示的DICOM图像中像素的坐标)和像素值、窗口级别和窗口宽度(亮度和对比度);
右下角展示:切片的厚度和位置(例如CT和MR模式)或x射线灯的旋转和倾斜(XA模式)、患者出生日期。
单击工具栏上的“标签”按钮或按”Shift+F12”键可以关闭和打开注释。
如下图为关闭注释后的效果。
从标签下拉菜单中单击“DICOM标签”模式(或按”Ctrl+Alt+T”键),即可显示出来医学影像的标签信息。
打开单张DICOM图像,如下图所示。
打开图像序列,即打开指定文件夹下的图像序列,打开后可用右侧导航栏翻阅序列,如下图所示。
保存图像。可选保存单张或是序列,保存图像格式及是否保存图像处理情况,如下图所示。
显示标签。显示出DICOM文件的各标签项信息,如下图所示。
显示直方图。以直方图形式显示出DICOM图像的统计信息。
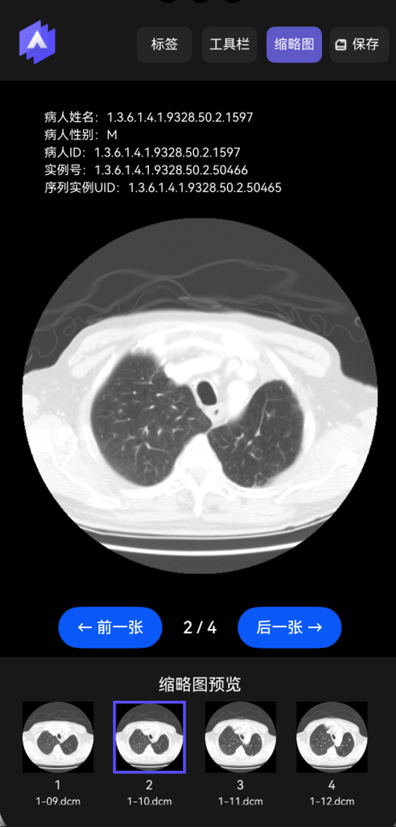
显示缩略图。打开序列后可以列表方式显示序列的缩略图,方便浏览查看,如下图所示。
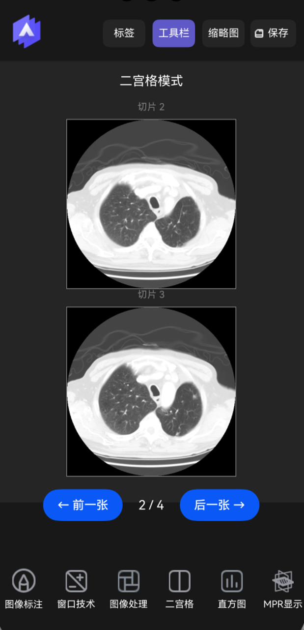
二宫格显示。以两个宫格方式显示2张图像,如下图所示。
显示CT值。点击图像某个部位时在底部显示当前的CT值,如下图所示。
打开DICOM图像后,可以直接在界面上对图像进行拖动平移、双指缩放及旋转操作,如下图所示。
基本图像处理。提供了一套图像处理工具,可以进行旋转、水平镜像、垂直镜像及反色功能,如下图所示。
窗宽窗位调整。通过窗宽调整图像显示的灰阶范围,使得图像对比度发生变化,通过窗位调整图像的明暗度,如下图所示,
打开图像后,可以使用选择工具对图像进行ROI(感兴趣区域)标注,区域形状可选择直线、矩形、椭圆或多边形,如下图所示。
打开序列后,可以选择MPR(多平面重构)显示功能。在MPR页面会将原始的轴状面图像序列进行三维重构,拖动冠状面及矢状面的滑动条可以分别针对这两个维度在不同位置上进行切面,以形成重构出的对应图像,如下图所示。
打开单张DICOM图像,如下图所示。
打开图像序列,即打开指定文件夹下的图像序列,打开后可用右侧导航栏翻阅序列,如下图所示。
保存图像。可选保存单张或是序列,保存图像格式及是否保存图像处理情况,如下图所示。
显示标签。显示出DICOM文件的各标签项信息,如下图所示。
显示直方图。以直方图形式显示出DICOM图像的统计信息。
显示缩略图。打开序列后可以列表方式显示序列的缩略图,方便浏览查看,如下图所示。
二宫格显示。以两个宫格方式显示2张图像,如下图所示。
显示CT值。点击图像某个部位时在底部显示当前的CT值,如下图所示。
打开DICOM图像后,可以直接在界面上对图像进行拖动平移、双指缩放及旋转操作,如下图所示。
基本图像处理。提供了一套图像处理工具,可以进行旋转、水平镜像、垂直镜像及反色功能,如下图所示。
窗宽窗位调整。通过窗宽调整图像显示的灰阶范围,使得图像对比度发生变化,通过窗位调整图像的明暗度,如下图所示,
打开图像后,可以使用选择工具对图像进行ROI(感兴趣区域)标注,区域形状可选择直线、矩形、椭圆或多边形,如下图所示。
打开序列后,可以选择MPR(多平面重构)显示功能。在MPR页面会将原始的轴状面图像序列进行三维重构,拖动冠状面及矢状面的滑动条可以分别针对这两个维度在不同位置上进行切面,以形成重构出的对应图像,如下图所示。